Aesthetic
セラミック治療
審美補綴(セラミック)治療

ただ美しいだけではなく
機能的にも快適な歯へ
歯の健康は私たちの日常生活に大きな影響を与えます。当院の審美歯科では、見た目の美しさとともに、機能性の回復にも重点を置いた治療を提供しています。
新しい技術と高品質な素材を活用し、患者様一人ひとりのニーズに合わせたオーダーメイドの治療プランを作成いたします。
「銀歯が気になって思い切り笑えない」「長持ちする詰め物や被せ物を探している」などのお悩みにも対応いたします。お気軽にご相談ください。
こんな方に審美補綴
(セラミック)治療がおすすめ
- お口の周辺を美しく保ちたい
- 以前に入れた詰め物・被せ物の外観に違和感がある
- 銀歯があることが気になっている
- 前歯の形状や歯間の距離が気になる
審美補綴(セラミック)治療のメリット
-
歯の見た目を美しくできる
審美補綴治療は、名称が示す通り美しさを求める方に適した治療です。
セラミックなどの審美治療で使う素材は、白く美しいですが、1本だけ浮いてしまうような違和感のある白さではなく、周囲の歯との違和感がないように仕上げることができます。
口元の美しさに自信が持てれば、食事や会話などのコミュニケーションを、より楽しみやすくなります。また、自己肯定感も上がるので人間関係にもポジティブになれるでしょう。 -
お口の中の健康を促せる
審美補綴治療は外観の美しさだけでなく、お口の中の健康に貢献します。セラミックなどの素材は汚れが付きにくいのでむし歯予防に役立ちますし、形状への配慮によって食べ物が詰まりにくくなります。
また、美しい詰め物・被せ物を入れれば、お口の中をきれいに保とうとする意識も上がるので、結果的にセルフケアの質も上がり、むし歯や歯周病の予防効果も得られます。 -
むし歯・歯周病などを
早く発見できる審美補綴治療を受けると、美しい状態を維持するモチベーションが上がるので、定期的に歯科医院でメインテナンスを受ける方が増えます。
歯科医院にご来院いただければ、対象の詰め物・被せ物だけでなくお口の中全体をチェックしますから、もしむし歯や歯周病を発症していても、早期発見が可能です。むし歯や歯周病は悪化すると治療にお金や時間を多く使いますが、発症初期なら簡単な治療で済みますから、時間やお金の面から見ても大きなメリットがあります。 -
質の高い補綴素材を選べる
保険診療の範囲で詰め物・被せ物を作る場合、多くはコンポジットレジンという樹脂素材か銀歯であり、選択肢はほとんどありません。コンポジットレジンは白いので銀歯ほど違和感はありませんが、変色しやすく耐久性も高いとは言えません。また、銀歯は外観的違和感がありますし、変形しやすい難点があります。
一方審美補綴治療では、セラミックをはじめとする質の高い素材を利用できます。また、選択肢も多いので、耐久性や外観など、患者様のご要望を踏まえた選択が可能です。
当院の審美補綴(セラミック)治療の特徴

一回の治療で複数の被せ物の型取りが可能
なかなか通えない方向けの
短期集中治療
当院では、印象剤で型取りを行う際にセデーション(薬剤を使用して意識レベルを低下させ痛みや苦痛を軽減する処置)を用いることも可能です。そうすることで患者様は嘔吐反応もなく、ウトウトと気持ち良くなっている感覚の間に型取りを済ませることができます。一般的に審美補綴(セラミック)治療を受けようと思うと、想像以上に時間がかかってしまうことがあります。また、通院の回数も重なることが多いものなのですが、「できるだけ早く治療を終わらせたい」「通院回数を減らしたい」という患者様のために、当院では短期集中型のプランをご用意しています。
前もってご予約を入れていただき時間を確保しますので、例えば一気に10本程度の歯の型取りを行うことも可能です。できるだけスピーディに美しい歯並びを手に入れたい場合は、ぜひ当院にご相談ください。
当院で扱う審美補綴(セラミック)治療
セラミックスインレー・クラウン

セラミックスインレー・クラウンはリチウムディシリケートガラスセラミックを使用した高品質なオールセラミック素材です。
高い審美性と強度を兼ね備えており、前歯から奥歯まで幅広く使用できます。
自然な透明感と色調を持ち、金属を使用しないため金属アレルギーの心配もありません。
| 治療期間・回数 | 2週間~1ヶ月/2回~4回程度 |
|---|
メリット
- 金属を使用していないため、金属アレルギーの心配がない。
- プラークが付きにくい素材なので、口腔環境を清潔に保てる。
- 変色しにくく、天然歯に近い色合いや透明度を持つことから、自然で美しい仕上がりになる。
- 天然歯に近い硬さを持つため、かみ合う歯にかかる負担を軽減できる。
デメリット
- 保険が適用できないため自費診療になる。
- セラミックスインレー・クラウンに強い力がかかると割れてしまう恐れがあるため、歯ぎしりや食いしばりが癖になっている患者様にはおすすめできない場合がある。
ラミネートベニア

ラミネートベニアは、歯の表面をわずかに削って薄いセラミックを張り付ける治療です。外観的に美しいうえに、歯のスキマが気になる部位であれば少し大きめに作ることなどで見た目を良くすることができます。
| 治療期間・回数 | 2週間~1ヶ月/2回~4回程度 |
|---|
メリット
- あまり歯を削る必要がない。
- 歯の根元まで削ることがないので、歯そのものを長く使えるようになる。
デメリット
- 保険が適用できないため自費診療になる。
当院の審美補綴(セラミック)治療の料金
※掲載の料金は税込の金額です。
| セラミックスインレー(小臼歯) | 55,000円 |
|---|---|
| セラミックスインレー(大臼歯) | 77,000円 |
| セラミックスオンレー | 99,000円 |
| セラミックスクラウン | 165,000円 |
| ラミネートベニア | 132,000円 |
| 歯周外科1ブロック | 110,000円 |
| クラウンレングスニング | 33,000円 |
| 診断用模型(ワックスアップ) | 55,000円 |
当院の審美補綴(セラミック)治療の症例紹介
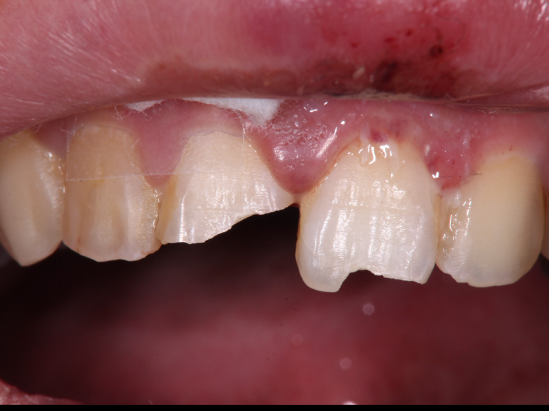
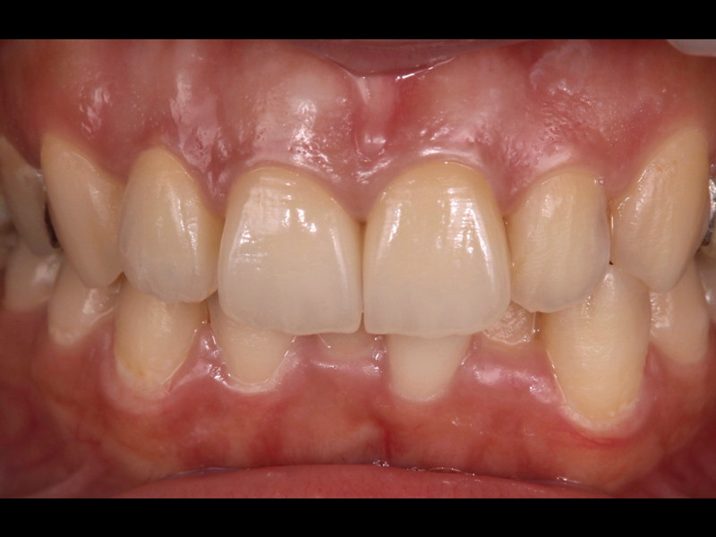
前歯が破折してしまった方への審美補綴治療
Before
After
| 診断 | 外傷により前歯が破折 |
|---|---|
| 年齢・性別 | 20代・女性 |
| 治療期間・回数 | 2週間~3週間程度/2回 |
| 治療方法 | 審美補綴修復 |
| 費用 | 1歯:165,000円(税込み) |
| デメリット・注意点 | 保険が適用できないため自費診療になる。 セラミックスインレー・クラウンに強い力がかかると割れてしまう恐れがあるため、歯ぎしりや食いしばりが癖になっている患者様にはおすすめできない場合がある |