Case
症例紹介
カテゴリー:
すべての投稿
セラミック治療審美歯科
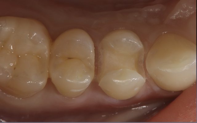
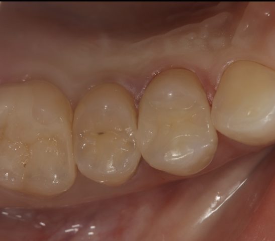
セラミックインレーの審美補綴治療
Before
After
| 診断名 | セラミックインレーの審美補綴治療 |
|---|---|
| 年齢・性別 | 20代・女性 |
| 治療期間・回数 | 2週間~3週間/2回 |
| 治療方法 | セラミックインレーによる審美補綴治療 |
| 費用 | 55,000円(税込み) |
| デメリット・注意点 | 保険が適用できないため自費診療になる。 セラミックスインレー・クラウンに強い力がかかると割れてしまう恐れがあるため、歯ぎしりや食いしばりが癖になっている患者様にはおすすめできない場合がある。 |
セラミック治療審美歯科
セラミックインレーの審美補綴治療
Before
After
| 診断名 | セラミックインレー審美補綴治療 |
|---|---|
| 年齢・性別 | 50代・女性 |
| 治療期間・回数 | 2週間~3週間/2回 |
| 治療方法 | セラミックインレーによる審美補綴治療 |
| 費用 | 55,000円(税込み) |
| デメリット・注意点 | 保険が適用できないため自費診療になる。 セラミックスインレー・クラウンに強い力がかかると割れてしまう恐れがあるため、歯ぎしりや食いしばりが癖になっている患者様にはおすすめできない場合がある。 |
セラミック治療審美歯科
ラミネートべニアによる審美補綴治療
Before
After
| 診断名 | ラミネートベニア(1本) |
|---|---|
| 年齢・性別 | 20代・男性 |
| 治療期間・回数 | 2週間~3週間/2回 |
| 治療方法 | ラミネートべニアで審美修復 |
| 費用 | 132,000円(税込み) |
| デメリット・注意点 | 保険が適用できないため自費診療になる。 セラミックスインレー・クラウンに強い力がかかると割れてしまう恐れがあるため、歯ぎしりや食いしばりが癖になっている患者様にはおすすめできない場合がある |
セラミック治療審美歯科
ラミネートべニアによる審美補綴治療
Before
After
| 診断名 | ラミネートベニア(2本) |
|---|---|
| 年齢・性別 | 30代・男性 |
| 治療期間・回数 | 2週間~3週間/2回 |
| 治療方法 | ラミネートべニアで審美修復 |
| 費用 | 1歯 132,000(税込み) |
| デメリット・注意点 | 保険が適用できないため自費診療になる。 セラミックスインレー・クラウンに強い力がかかると割れてしまう恐れがあるため、歯ぎしりや食いしばりが癖になっている患者様にはおすすめできない場合がある |
セラミック治療審美歯科
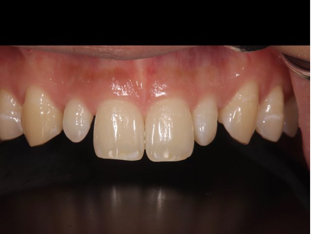
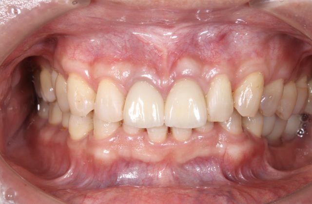
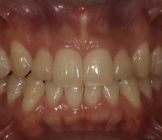
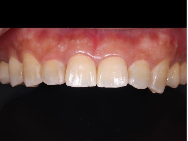
前歯の被せ物のやり替え治療(オールセラミック)
Before
After
| 診断名 | 前歯の審美補綴治療 |
|---|---|
| 年齢・性別 | 40代・男性 |
| 治療期間・回数 | 半年/10回 |
| 治療方法 | 審美補綴治療(オールセラミック) |
| 費用 | セラミックス補綴(1歯):165,000円(税込み) 歯周外科(1ブロック):110,000円(税込み) |
| デメリット・注意点 | 保険が適用できないため自費診療になる。 セラミックスインレー・クラウンに強い力がかかると割れてしまう恐れがあるため、歯ぎしりや食いしばりが癖になっている患者様にはおすすめできない場合がある |
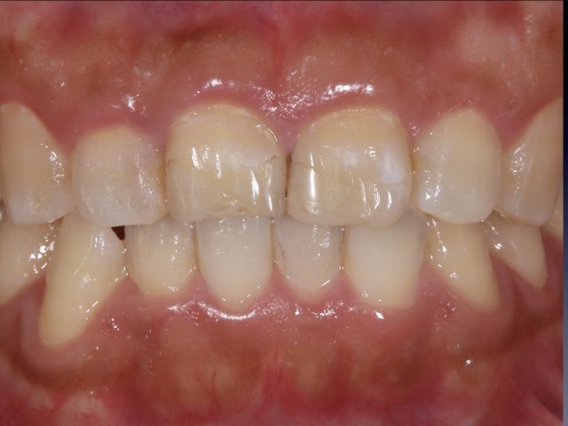
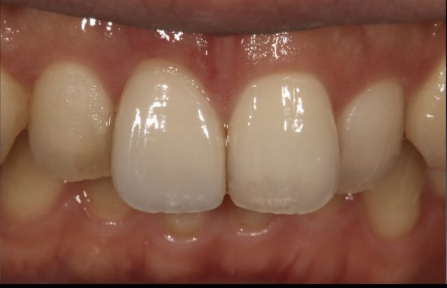
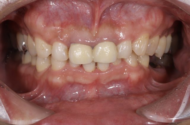
セラミック治療審美歯科
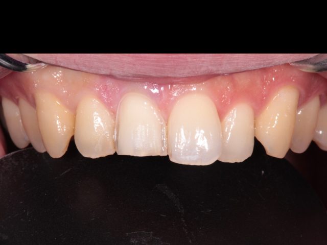
前歯の審美補綴治療
Before
After
| 診断名 | 審美補綴治療 |
|---|---|
| 年齢・性別 | 30代・男性 |
| 治療期間・回数 | 2週間~3週間程度/2回 |
| 治療方法 | 審美補綴治療(オールセラミック) |
| 費用 | 1歯:165,000円(税込み) |
| デメリット・注意点 | 保険が適用できないため自費診療になる。 セラミックスインレー・クラウンに強い力がかかると割れてしまう恐れがあるため、歯ぎしりや食いしばりが癖になっている患者様にはおすすめできない場合がある |